极光影像 即刻呈现

P20 Elite

彩色多普勒超声诊断系统

广告

P20 Elite

“生育问题”即关系民族复兴,也关系亿万家庭的幸福。随着婚育年龄推迟、社会压力增加等因素,越来越多人群也面临着“生不出、生不好”的问题。辅助生殖作为治疗不孕不育最有效的方法之一,也逐渐成为育儿新希望。而超声检查能为生殖需求人群的初诊评估提供宝贵的信息。 P20 Elite是美狮贵宾会官网匠心打造的一款生殖应用型彩超。她继承美狮贵宾会官网高端极光平台,突破性地将多款新型芯片及硬件模块进行整合,均衡了高端系统性能与小巧灵动机身。P20 Elite卓越的图像质量搭载专科探头,旨在为您提供全面的辅助生殖解决方案。

丰富的生殖探头群

P20 Elite配备了丰富的生殖探头群和临床应用功能,在卵泡监测、穿刺取卵、胚胎移植、妊娠确认等领域,为生殖需求人群提供了新的临床机会,重新定义高端超声如何应用于生殖健康检查。

生殖专用腔内探头

曲柄设计方便术者与操作者配合工作。220°大角度扫查配备专用的穿刺架,可清晰显示穿刺针进针过程,保障取卵操作精准与安全。

大角度腔内探头

大视野角度下观察使医生无需转动探头即可有效观察各方位病变,减小病人痛苦,可进行女性生殖系统检查及试管婴儿的临床研究。

窥器式探头

采用弯柄探头替代窥器下叶,巧妙实现了实时超声监控下的单人手术操作。探头频率高、图像清晰,不受肥胖影响,使得手术过程中无需充盈膀胱,即可有效进行胚胎移植、减胎手术的精准操作。

腔内容积探头

腔内三维成像技术获得显著提升,超大扇角在满足日常基础扫查的同时,支持卵泡自动测量及多种三维渲染模式,为您提供更多的诊断信息,尤其是在子宫畸形的诊断,内膜及肿瘤占位观测中起到了重要的作用。

远程会诊解决方案

通过线上云会诊平台,实现县级医院与上级医院患者卵泡数据互联互通。避免重复性卵泡测量,提高诊断效率。

友好人机设计

  • P20 Elite可选配23.8英寸高分辨率显示器,提供出色的对比分辨率,图像清晰更清晰,方便医生诊断观察。

  • 高灵敏度触摸屏可进行角度调整,以适应用户在不同环境中的观看。

  • 4个激活+1个挂口满足临床更广泛的应用需求。

  • 可内置大容量锂电池,方便运输,满足更长时间扫描需求。

  • 耦合剂加热器可将耦合剂维持在舒适的温度,体现患者关爱。

临床图

超声引导下双侧卵巢穿刺取卵

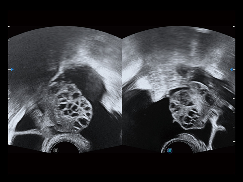
卵巢多囊样改变

超声引导下胚胎移植

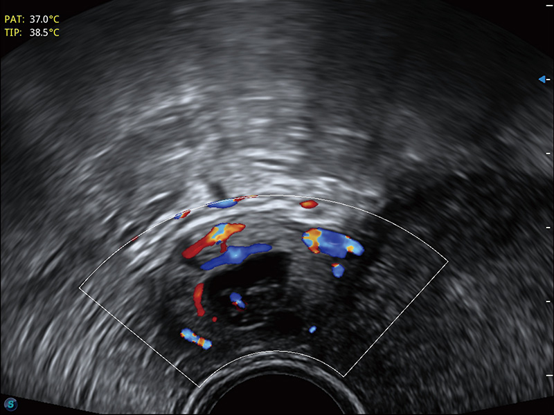
宫外孕血流

中央型宫腔粘连

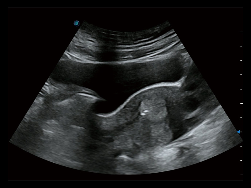
单角子宫

子宫内膜息肉

输卵管间质部妊娠

禁忌内容或者注意事项详见说明书